Les Greffes de Gencives

La greffe de gencive est l'un des traitements de la chirurgie plastique en parodontie.

 

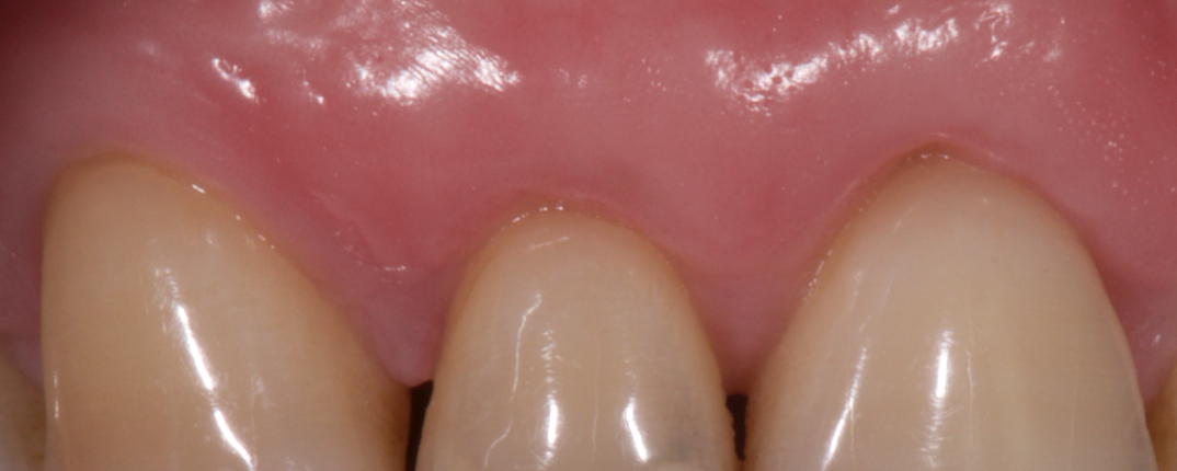
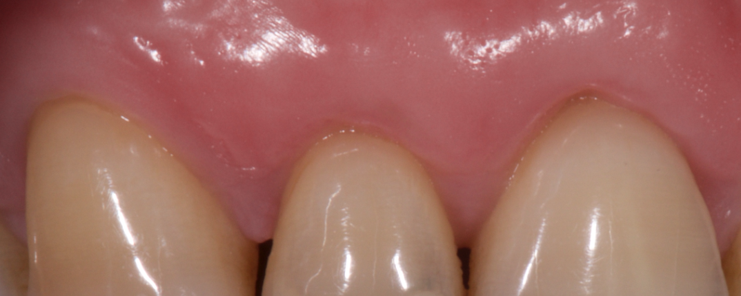
La greffe gingivale est une intervention de parodontologie qui a pour but de traiter les récessions gingivales ou dénudation radiculaire appelée aussi déchaussement dentaire.

 

Les greffes de gencives sont des micro-chirurgies qui consistent à transplanter un volume de tissus mous du palais (le tissu conjonctif) pour couvrir un défaut gingivale ou pour épaissir une gencive trop fine.

 

Lors d’une récession, la gencive se rétracte : la racine de la dent apparait, elle se dénude. Les récessions sont un préjudice esthétique. Elles entrainent aussi une augmentation des sensibilités au froid qui peuvent être très handicapantes au quotidien.

 

Les greffes gingivales permettent de renforcer la gencive et ainsi, de stopper l'évolution de la dénudation et du déchaussement.

 

Le greffon donneur est prélevé à l’intérieur de votre bouche, au palais ou derrière la dernière molaire. Il est ensuite transplanté sur le site qui nécessite d’être recouvert. C'est donc un tissu vous appartenant : le risque de rejet est faible. C'est une greffe autogène. Il n'y a aucun risque de contamination puisque le tissu vous appartient.

 

Ce type de procédures s’apparente à la chirurgie plastique : ce sont des procédures délicates qui nécessitent des lames et des sutures très fines.

 

Apres un délai de cicatrisation de 10 à 15 jours, les sutures seront déposées. La maturation de la greffe prendra environ quatre mois.

Prise en charge rapide
Prise en charge rapide
Engagement qualité
Engagement qualité
Proche du métro
Proche du métro
Professionnel
Professionnel
Pour toute question ou demande de rendez-vous