Dentiste pour les enfants Marseille Prado

Dentiste pour les enfants Marseille Prado
La Prévention

La Prévention

Votre santé bucco-dentaire doit être vérifiée régulièrement pour assurer un sourire sain tout au long de votre vie. Par conséquent, la dentisterie préventive a pour mission d'aider les patients à prévenir toute sortes de...
En savoir plus
Couronne dentaire

Couronne dentaire

Une dent est constituée de deux parties : la couronne et la(les) racine(s) qui la supporte. La couronne est la partie de la dent qui émerge de la gencive et qui est visible en bouche. C’est la partie qui vous sert à sourire et à manger. Lorsqu’une dent...
En savoir plus
Dentiste sur rendez-vous pour urgences à Marseille 8

Dentiste sur rendez-vous pour urgences à Marseille 8

Vous avez mal au dent soudainement et la douleur est insoutenable ? Il est évident que c'est une urgence et vous souhaitez trouver un dentiste rapidement.Le Cabinet Maupassant à Marseille dans le 8e arrondissement vous accueille au plus vite pour vous soulager au 27 Avenue Guy de Maupassant grâce ...
En savoir plus

Nos prestations sur le secteur de Marseille Prado

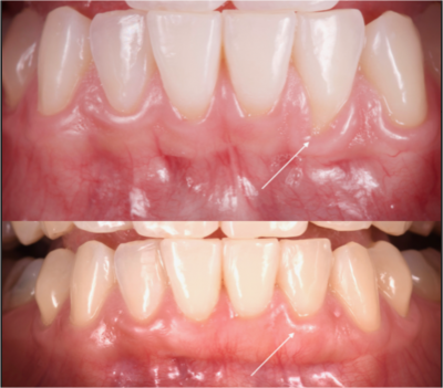
Les greffes de gencive

Les greffes de gencive

La gencive joue un rôle essentiel dans la préservation de la dent et du parodonte. Elle protège à la fois le tissu osseux et les dents qui sont les seules organes vivants contenus à la fois dans un milieu stérile (l’os) et un milieu septique (la bouche). La récession gingivale communément appel...
En savoir plus
Carie dentaire nettoyée, étanchéifiée avec une digue dentaire et mise en place de la matrice

Soin dentaire des petites et moyennes caries avec de la résine composite stratifiée en technique de restauration directe

Le cabinet dentaire Maupassant à Marseille propose des traitements efficaces pour les petites et moyennes caries avec la résine composite stratifiée. Découvrez nos solutions durables et adaptées pour restaurer vos dents, ainsi que des soins spécialisés pour les caries plus importantes.
En savoir plus

Notre zone d'activité pour ce service Dentiste pour les enfants

Les Inlays/Onlays

Les Inlays/Onlays

Notre objectif commun est la conservation de l'organe dentaire dans son intégralité. Notre philosophie de pratique est la réalisation de soins les moins mutilants possibles, esthétiques et qui résistent dans le temps. Le développement des...
En savoir plus
Cabinet de chirurgie dentaire et d'implantologie orale, le Cabinet Maupassant s'adresse aux patients qui cherchent à soigner une carie dentaire à Marseille Prado, qui veulent réparer une dent cassée ou bien qui aimeraient soigner une inflammation des gencives.

Vous souhaitez obtenir un devis ou davantage d'informations sur la prestation suivante : Dentiste pour les enfants Marseille Prado ? Adressez-vous à un spécialiste de l'implant dentaire et de la greffe osseuse en prenant contact avec le Cabinet Maupassant.

Notre cabinet est le spécialiste de la pose de prothèses dentaires. Vous pouvez demander l'avis à notre équipe avant d'envisager la pose de stellites dentaires ou de tout autre type de prothèse.
Nous écrire
Les champs indiqués par un astérisque (*) sont obligatoires
Nos partenaires
agence web Marseille

Création de site internet pour professionnel de santé Marseille Jalis.

Pour la création du site internet d'un professionnel de santé, faites confiance à Jalis qui a réalisé le site internet pour de nombreux dentistes, chirurgiens dentistes, psychologues ou encore kinés. Jalis répond aux contraintes liées à votre activité ou à votre ordre professionnel et vous permet ...
En savoir plus

.

En savoir plus
Ouvert dimanche matin Marseille 13006 Pharmacie Sainte Anne

Ouvert dimanche matin Marseille 13006 Pharmacie Sainte Anne.

La Pharmacie Sainte Anne est ouverte de 9h à midi le matin et de 15h à 19h l'après midi pour vos médicaments sur ordonnance ou produits de parapharmacie du lundi au vendredi. L'établissement est fermé le samedi toute la journée mais par contre ouvert le dimanche matin, ce qui est assez rare ...
En savoir plus
Prise en charge rapide
Prise en charge rapide
Engagement qualité
Engagement qualité
Proche du métro
Proche du métro
Professionnel
Professionnel
Pour toute question ou demande de rendez-vous